Sonríe, Habla, Muerde: Recupera tu Vida con Dientes Fijos Sobre Implantes. Di adiós a las preocupaciones de las prótesis removibles y redescubre la libertad de una boca estable y segura.
La rehabilitación sobre implantes es la solución definitiva cuando has perdido varios o todos tus dientes. Se trata de reconstruir por completo tu capacidad de masticar, hablar y sonreír con total seguridad y confort usando implantes dentales como cimientos estables para fijar una prótesis dental.
En esencia, la rehabilitación sobre implantes es un tratamiento avanzado que transforma tu calidad de vida, ofreciéndote una solución estable, duradera y estéticamente natural que te permite volver a disfrutar plenamente de tus actividades diarias.
Son prótesis removibles que se anclan de forma segura a unos pocos implantes. Ofrecen muchísima más estabilidad que una prótesis tradicional, permitiéndote comer y hablar con mayor confianza, pero aún se pueden quitar para su limpieza.
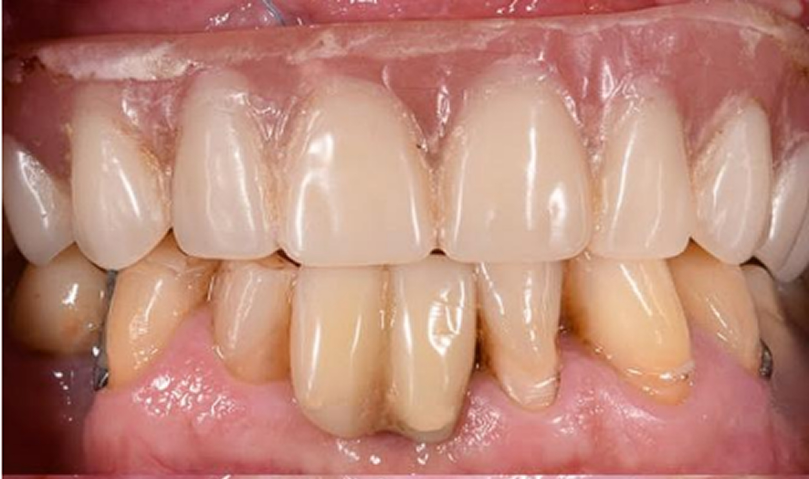
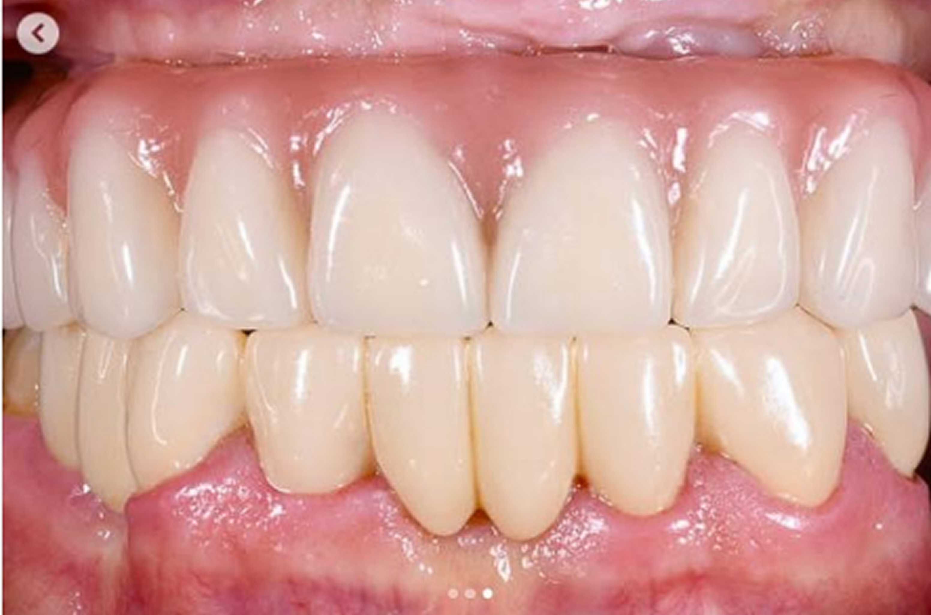
Estas son prótesis completas o parciales que se atornillan directamente a un número estratégico de implantes. Son completamente fijas, lo que significa que solo un profesional puede retirarlas. Te devuelven la sensación y la función de tener tus propios dientes naturales, eliminando la preocupación de que se muevan.

..
..
..
..
¿Listo para experimentar la diferencia de una atención verdaderamente personalizada? Contáctanos hoy para programar tu consulta y dar el primer paso hacia la mejor sonrisa de tu vida.